すべての投稿
セラミックインレー
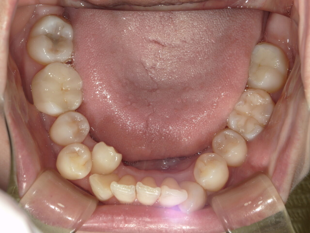
右下6、7 セラミックインレー装着

BEFORE

AFTER
| 診断名 | |
|---|---|
| 年齢・性別 | |
| 治療期間・回数 | 6週間(1つあたり3週間) |
| 治療方法 | 右下6 セラミックインレー装着 左下7 セラミックインレー装着 保険CR充填からセラミックインレーへやり替え治療 |
| 費用 | 12万円(6万円x2) |
| デメリット・注意点 | もともと装着されていた保険のコンポジットレジン修復は吸水性と耐摩耗性に問題があり、経年劣化が生じやすく、色素沈着により色がついてくるのと、辺縁の破折リスクや摩耗によりかみ合わせがずれてくるリスクがあります。 この度、施術したセラミックインレー修復はコンポジットレジン修復にくらべ、審美性に大変優れており、耐摩耗性も優れているため経年劣化が生じにくく、咬合関係も維持しやすくなります。 一方で破折リスクは全くないわけではないので、あまりにも硬すぎる物の咀嚼や歯ぎしり、食いしばりによりセラミックインレー体が破折するケースもありえます。金属を使用しないので金属アレルギーは生じません。 |
| 備考 |
ジルコニアインレー
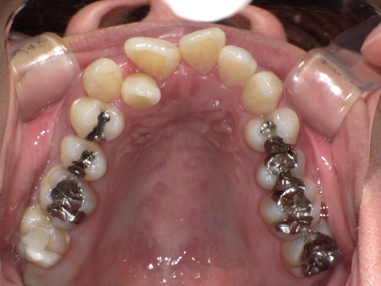
左上5 ジルコニアインレー装着

BEFORE

AFTER
| 診断名 | |
|---|---|
| 年齢・性別 | |
| 治療期間・回数 | 3週間(他院での矯正で初診より上顎左右4抜歯して矯正後の治療に入ってます) |
| 治療方法 | 左上5 ジルコニアインレー装着 |
| 費用 | 38000円 |
| デメリット・注意点 | 保険のメタルインレー修復からジルコニアインレー修復へのやり替え治療です。 ジルコニアインレーは硬度が強く耐久性に優れており、破折リスクは極めて少ないです。一方で硬すぎるゆえに歯ぎしり食いしばりがあまりにも強い方は対合歯(相手が歯)をいてめるリスクがあります。 表面が滑沢で吸水性もないため経年劣化による変色が生じない素材となります。審美性に関してはセラミックインレーに比べるとやや劣りますが、保険の修復材料に比べると審美的によい素材となります。 |
| 備考 | 初診から他院での矯正が入ってからの修復のため術前術後の整合性がそぐわない症例となっております。 |
床矯正
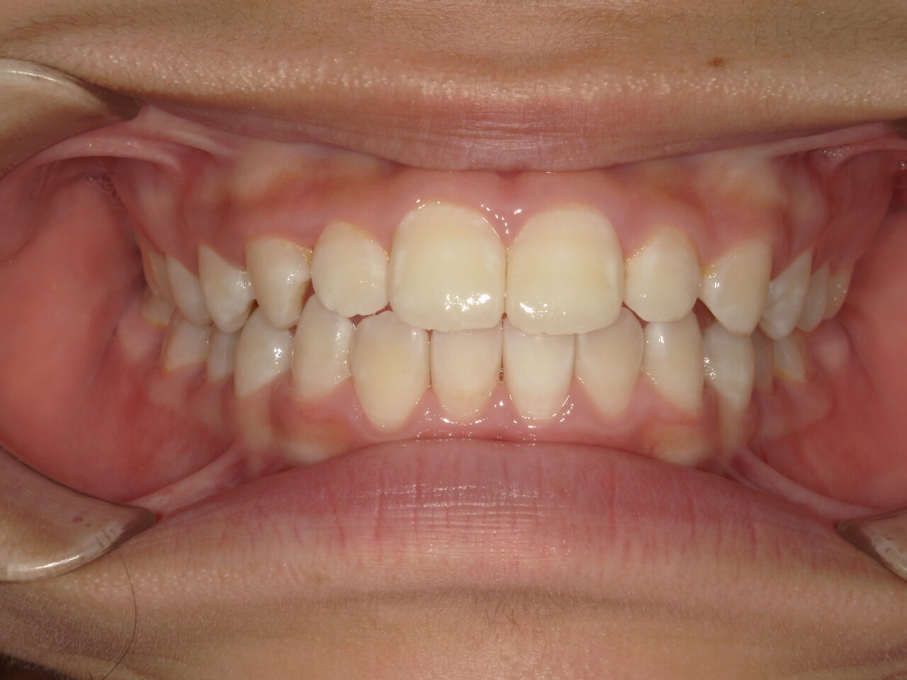
床矯正治療

BEFORE

AFTER
| 診断名 | |
|---|---|
| 年齢・性別 | 8歳6か月 |
| 治療期間・回数 | 4年9か月 |
| 治療方法 | 床矯正治療 |
| 費用 | 矯正検査33000円 矯正装置21万円 筋機能訓練3000円 |
| デメリット・注意点 | 術前、臼歯部の咬合関係に大きな問題がなく、比較的低年齢から開始することにより顎の成長発育と筋肉の調和を図ることにより抜歯せず、簡単な器具の装着のみで並ばせることができます。 術後、新たな悪い癖が生じたり、筋肉と咬合関係のバランスが崩れることにより後戻りや新たな歯並びの悪化が生じることがあります。 |
| 備考 |
床矯正
床矯正治療 開始時期7歳4か月

BEFORE

AFTER
| 診断名 | |
|---|---|
| 年齢・性別 | 7歳4か月 |
| 治療期間・回数 | 5年5か月 |
| 治療方法 | 床矯正治療 開始時期7歳4か月 |
| 費用 | 矯正検査33000円 矯正装置21万円 筋機能訓練3000円 |
| デメリット・注意点 | 咬合関係に大きな問題がなく、比較的低年齢から開始することにより顎の成長発育と筋肉の調和を図ることにより抜歯せず、簡単な器具の装着のみで並ばせることができます。 術後、新たな悪い癖が生じたり、筋肉と咬合関係のバランスが崩れることにより後戻りや新たな歯並びの悪化が生じることがあります。 |
| 備考 |
